Totale Prothesen

Natürliches Aussehen

Ihre Zähne


Die Anfertigung sogenannter totaler Prothesen stellt eine der größten Herausforderungen dar. Die Kunst besteht darin, die Zähne so in den Raum der Mundhöhle zu positionieren, dass Aussehen, Funktion und Lautbildung gegeben sind. Auf eine ungestörte Aussprache und die Unterstützung der Mimik muss ebenfalls sehr großes Augenmerk gelegt werden.

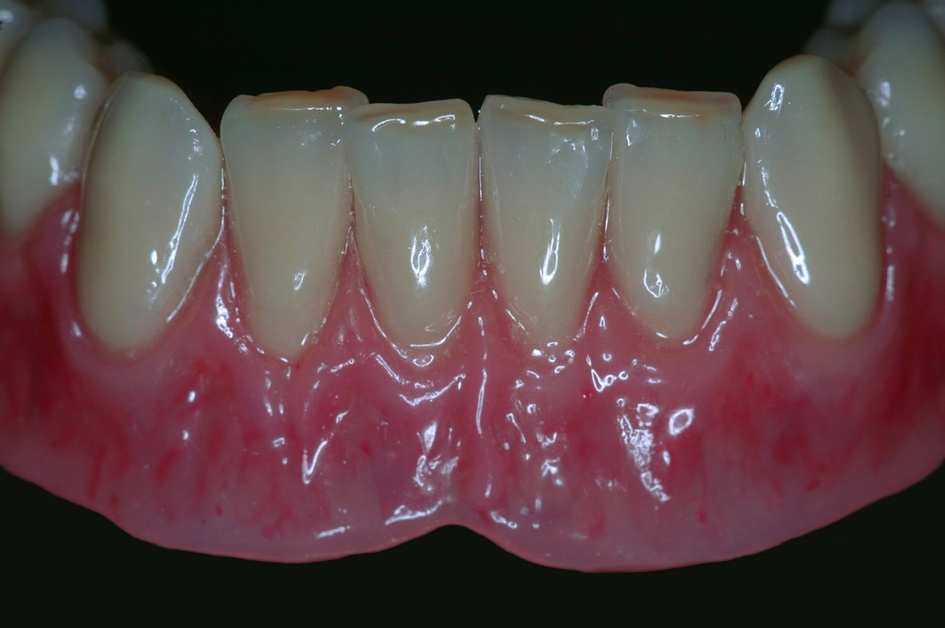
Prothesen können auf Ihren Wunsch so gestaltet werden, dass sie „echt“ aussehen. Die Zahnstellung und das Zahnfleisch werden auf natürliche Weise nachgeahmt.

© 2025 TRIODONT Zahntechnik

Diese Website verwendet Cookies. Bitte sehen Sie unsere Datenschutzrichtlinie für Details.