Implantate

Zähne wie gewachsen


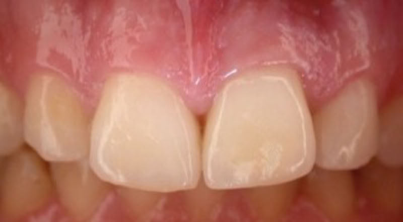
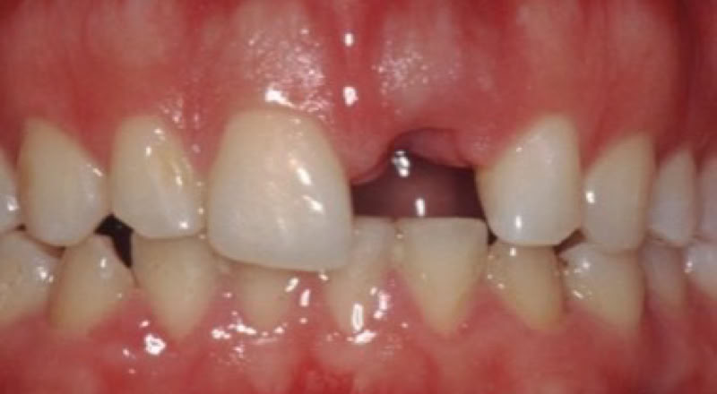
Die ästhetisch orientierte Chirurgie ist in der Lage, ein optimal ausgeformtes Implantatbett zu erzeugen. Die keramischen Implantatkronen sind dann nicht mehr von natürlichen Zähnen zu unterschieden, denn der Übergang vom Implantat zur Zahnkrone ist wie bei echten Zähnen ausgeformt. Dieses sogenannte Emergenzprofil ist für den ästhetischen Erfolg verantwortlich.

Video abspielen

Beim Klicken werden Ihre Daten an Google gesendet, der Cookies setzt und Ihre Daten zur Personalisierung von Werbung verwendet

Video anzeigen

Implantat: Ein Film von Armin Maiwald

ProDente:Implantate

© 2025 TRIODONT Zahntechnik

Diese Website verwendet Cookies. Bitte sehen Sie unsere Datenschutzrichtlinie für Details.