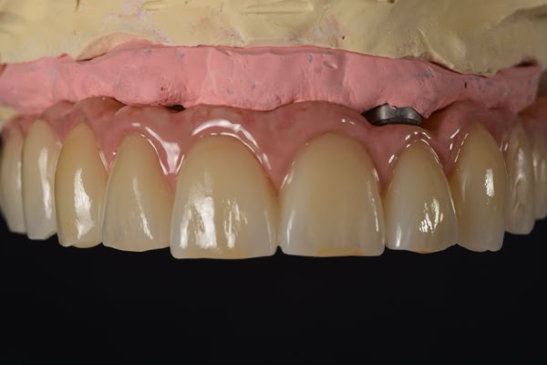
Das All-on-4® Prinzip

Grafik: Nobel Biocare

Die Implantate werden so gesetzt, dass der vorhandene Knochen genutzt werden kann. Eine sofortige Versorgung ist möglich.

Was ist All-on-4®?


All-on-4 bedeutet sinngemäß "alle Zähne eines Kiefers auf vier Implantaten". Das heißt festsitzende Zähne (eine vollständige Brücke) auf nur vier künstlichen Zahnwurzeln.

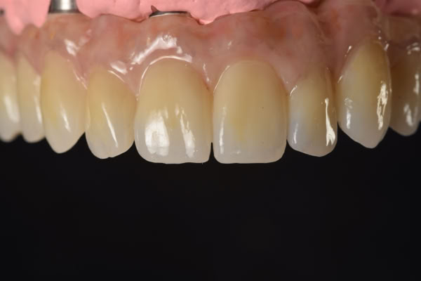
Vorteile:

Das Gefühl eigener fester Zähne, reduzierter chirurgischer Aufwand, preislich attraktiv. Dies wird dadurch erreicht, dass sensible anatomische Regionen wie die Kieferhöhle oder der Hauptnerv umgangen werden, indem die hinteren Implantate abgewinkelt gesetzt werden.

Da auf plastische chirurgische Maßnahmen verzichtet wird, müssen einige Voraussetzungen gegeben sein wie z.B. ausreichendes Knochenangebot und günstige Lachlinie bzw. Lippenverlauf.

© 2025 TRIODONT Zahntechnik

Diese Website verwendet Cookies. Bitte sehen Sie unsere Datenschutzrichtlinie für Details.