TRIODONT Zahntechnik GmbH
Website Navigation
[Überspringen]
Start
Zähne
Verblendschalen – Veneers
Cercon ht Zirkonkronen
Cercon xt
CELTRA ZLS Glaskeramik
Prothetik
Teleskope und Geschiebe
Reiseprothese
Ästhetik
Zahnfarbe
Digitale Gesichtsanalyse
Digitale Farbbestimmung
Schwarze Kronenränder
Implantate
Zähne wie gewachsen
All-on-4®
Das All-on-4® Prinzip
All-on-4® Werkstoffe
All-on-4®-Bilder
Sofortimplantation
Schnarchen
Infos
Philosophie
Veröffentlichungen
Zahnjournal
Videos
Broschüren
Links
Service
Rund um den Zahn
Garantie
Preise
Zusatzversicherung
Investitionsschutz
Pflege und Tipps
Kronen, Brücken - Pflege
Totale Prothese - Pflege
Schienen - Pflege
Partielle Prothese - Pflege
Urlaubszeit
Kontakt
Schreiben Sie uns...
Anfahrt und Parken
Über uns
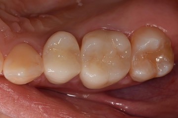
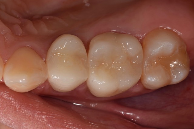
Okklusalansicht
Zurück
Weiter
Liste
Impressum
Datenschutz
© Thomas Bartsch 2014
🇬🇧 🇺🇸
📱 +49 2403-4093
[Nach oben]