

Behandler: Dr. Platte, Düsseldorf
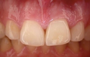
Zahnlücke nach Unfall: Fertige Krone nach Sofortimplantation und -versorgung. Alle Strukturen der Zahnhalteapparates sind erhalten geblieben. Perfekte rote und weiße Ästhetik.
Bei einer Sofortimplantation und-versorgung wird direkt nach Entfernung oder Verlust des Zahnes in den noch vorhandene Knochen implantiert. Danach wird eine provisorische Krone aufgesetzt, die nach Einheilung des Implantates durch die definitive Zahnkrone ersetzt wird.
Der wesentliche Vorteil ist, dass die Knochen- und Mundschleimhautstrukturen erhalten bleiben und so die rote Ästhetik nicht verkoren geht, da das Implantat den Abbau dieser Gewebe verhindert.